Neugeräte
Sparq
Weltweit erstes Ultraschallsystem mit Touchscreen
Das erste Ultraschallgerät weltweit mit Touchscreen zur Unterstützung der hygienischen Anforderungen in der Praxis und im Krankenhaus.
Sparq ist ein sehr mobiles und leichtes System zur Unterstützung von Regionalanästhesien und Schmerzbehandlungen sowie zur Untersuchung schwer kranker Darüber hinaus ist es das weltweit erste Ultraschallsystem mit abwischbarer Oberfläche aus Hartglas und verfügt über eine intuitive Benutzeroberfläche.
Mittlerweile werden immer häufiger bildgebende Systeme wie Ultraschall oder Röntgen nicht mehr nur zu diagnostischen Zwecken eingesetzt, sondern sie unterstützen auch therapeutische Eingriffe in OP-Sälen und anderen hygienisch sensiblen Bereichen in der Praxis und im Krankenhaus.
Sparq Prospekt ansehen
Flexibel in der Anwendung
Sparq kann auch in schwierigen klinischen Umgebungen eingesetzt und auch im Stehen von dem Anwender bedient werden kann. Die dafür notwendige Flexibilität erhält das Gerät durch sein ergonomisches Design mit Höhenverstellung und einem 17-Zoll-Monitor auf einem Schwenkarm. Das insgesamt sehr kompakte Format sorgt für Mobilität und einfachen Zugang zum Patientenbett. Zudem verfügt Sparq über eine besonders leistungsstarke Batterie, so dass es lange Zeit netzunabhängig betrieben werden kann.
Einfacheres Arbeiten
Über eine Berührung auf dem Display kann das Gerät in den so genannten Simplicity Mode gebracht werden, über das die am häufigsten verwendeten Bedienelemente angeboten werden. Die Oberfläche wird dadurch besonders übersichtlich und unterstützt damit häufig wechselnde Anwender. Die AutoSCAN-Funktion identifiziert die Schallabschwächung in unterschiedlichen Gewebearten und passt diese beim Schallen kontinuierlich an. Während des Schallens sind so weniger Einstellungen über die Systemsteuerung nötig.
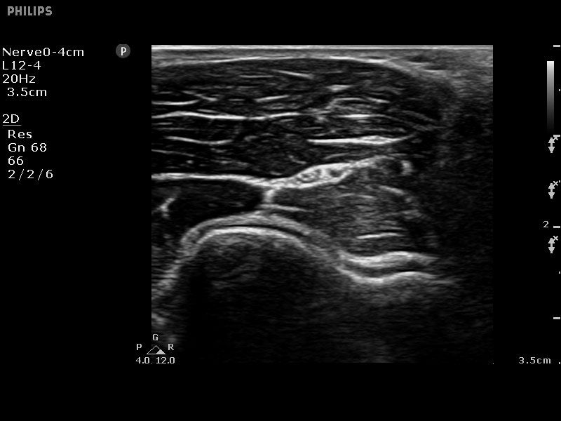
Die Nadelvisualisierung verbessert die Darstellung der Nadel ohne Verschlechterung der Bildqualität und erleichtert somit eine rasche und exakte Nadelführung zur anatomischen Zielregion. Um bei einer Punktion den Abstand zum Ziel besser einschätzen zu können, verfügt das System über eine Gitternetzanzeige.
Philips hat als erster Anbieter ein Ultraschallgerät auf den Markt gebracht mit dem Ziel die Einhaltung der Hygienestandards in der Praxis und im Krankenhaus zu unterstützen.
Gefahr durch Keime
Die versiegelte, berührungsempfindliche Hartglasoberfläche mit Touchscreenfunktion ersetzt die Tasten und Knöpfe, über die der Arzt das System bedient. Diese Oberfläche ist mit vielen gängigen Desinfektionsmitteln einfach zu reinigen und verhindert so eine Ansiedlung oder auch Übertragung von Keimen.
Keime verursachen gesundheitsgefährdende und lebensbedrohliche Infektionen. Weltweit sind sie zu einem wachsenden Problem in Praxen und Krankenhäusern geworden. Sie sind ebenso gefährlich wie schwer zu bekämpfen und können, so warnen Experten, Resistenzen gegen Antibiotika und Desinfektionsmittel entwickeln. In Krankenhäusern kommt es dadurch oft zu riskanten hygienischen Gegebenheiten.
Allein in Europa werden ca. drei Millionen jährlich durch medikamentenresistente Bakterien infiziert, ca. 25000 dieser Patienten sterben daran.
»Sein neuartiges Design und die intuitive Benutzeroberfläche machen Sparq zu einem System, das man gern verwendet«, so Barry Nichols, Berater für Anästhesie und Schmerzmanagement am Musgrove Hospital der Taunton& Somerset NHS Foundation. »Die ergonomisch effizienten Steuerelemente und der hochauflösende Bildschirm von Sparq bringen echte Vorteile in den täglichen Arbeitsablauf im Krankenhaus. Es ist außerdem ein kompaktes und hoch mobiles Gerät, das sich perfekt für den Einsatz im Operationssaal eignet.«
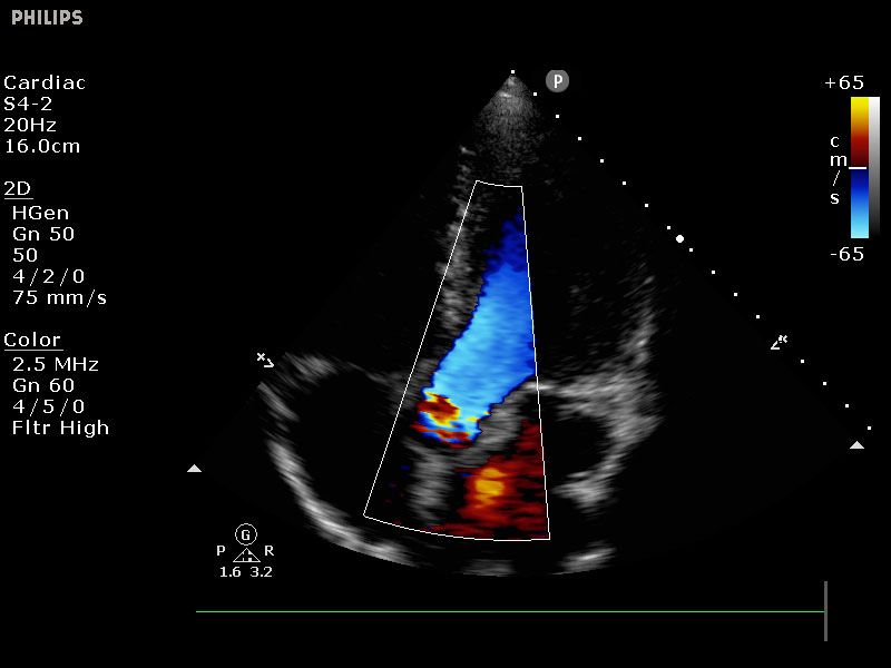
Sparq bietet eine breite Palette klinischer Anwendungen speziell für die Innere Medizin, Notfallmedizin, Intensivversorgung, ultraschallgeführte Regionalanästhesie und Schmerzmedizin, einschließlich Interventionen an Nerven, Wirbelsäule, Muskel-Skelett-System, Gefäßen, Herz und Lunge sowie mittels TEE.
Optional kann das Gerät auch mit fortschrittlichen Servicefunktionen ausgestattet werden wie dem Onlinesupport, eigenständiger Überwachung zur Verhinderung von Störungen, Einsatzberichte zur Unterstützung der Krankenhäuser bei der Verwaltung ihrer Anlagen und zur Effizienzsteigerung sowie einem Remote Desktop Service, der virtuelle Besuche vor Ort für klinische und technische Unterstützung erlaubt.
»Unsere Entwicklungsarbeit bei Sparq hat sich besonders auf die Ergonomie und die Benutzerfreundlichkeit des Systems konzentriert. Der Alltag unserer Point-of-Care-Kunden mit Sparq wird dadurch wesentlich erleichtert«, erklärt Conrad Smits, General Manager Ultrasound für Philips Healthcare. »Die Anwendung unserer Systeme für Mediziner ist einfacher geworden. Das versetzt sie in die Lage, auch in kritischen Situationen schnell handeln zu können.« (Philips)







